Sep 28, 2018

Public workspaceWestern Blot Detection

Western Blot Detection
  • LI-COR Biosciences1
  • 1LI-COR Biosciences
  • LICORbio
Icon indicating open access to content
QR code linking to this content
Protocol CitationLI-COR Biosciences 2018. Western Blot Detection. protocols.io https://dx.doi.org/10.17504/protocols.io.gupbwvn
License: This is an open access protocol distributed under the terms of the Creative Commons Attribution License,  which permits unrestricted use, distribution, and reproduction in any medium, provided the original author and source are credited
Protocol status: Working
We use this protocol and it's working
Created: December 20, 2016
Last Modified: September 28, 2018
Protocol Integer ID: 4719
Keywords: irdye subclass specific antibodies for western blotting, using irdye subclass specific antibody, western blot detection, western blot detection this protocol, western blot analysis, detailed descriptions of western blotting, western blotting, western blot, blot, irdye, detection, imager
Abstract
This protocol is a guide to using IRDye Subclass Specific antibodies for Western blotting. For more detailed descriptions of Western blotting, refer to Western Blot Analysis and In-Cell Western Kits I and II on the LI-COR Biosciences website (www.licor.com). 
Developed for: Odyssey® Family of Imagers
Attachments
Guidelines
I. Introduction
IRDye Goat anti-Mouse IgG1, Goat anti-Mouse IgG2a and Goat anti-Mouse IgG2b, allow for two-color detection using primary antibodies derived from the same species (mouse). IRDye Subclass Specific antibodies react with the heavy (gamma) chain only of the primary antibody. In mice, there are five unique subclasses of IgG; IgG1, IgG2a, IgG2b, IgG2c and IgG3. Each subclass is based on small differences in amino acid sequences in the constant region of the heavy chains so antibodies directed against a particular subclass will not recognize antibodies directed against other subclasses. For example, IRDye goat anti-mouse IgG1 recognizes mouse gamma 1; it will not recognize mouse gamma 2a, 2b, 2c or gamma 3. All other LI-COR IRDye secondary antibodies are whole IgG (H + L) and react with the heavy (gamma) and light (kappa or lambda) chains of the primary antibody. Figure I demonstrates the differences in detection between the IRDye antibodies.


Antibody Subclasses may also be designated by their light chains. There are two types of light chains, kappa (κ) or lambda (λ). In mice, 95% of light chains are kappa and 5% are lambda. These subclasses still contain the heavy (gamma) portion of the antibody so IRDye Subclass Specific antibodies still recognize them. If the subclass of the primary antibody is unknown, LI-COR® whole IgG secondary antibodies may be used since they recognize most mouse IgG subclasses.
II. Suggested Materials
This section is intended as a guideline; other materials may be substituted, if desired.
  • Proteins transferred to a nitrocellulose or PVDF membrane (for Western blot only)
  • Cells that have been fixed and permeabilized on a 96 well plate (for ICW only)
  • Odyssey® Blocking Buffer
  • 10X PBS
  • 20% Tween® 20
  • SDS (if using PVDF membrane)
  • Suggested mouse primary antibodies for normalization:
           – Beta-Actin Mouse mAb IgG2b (LI-COR P/N 926-42212)
           – Alpha-Tubulin Mouse mAb IgG1 (LI-COR P/N 926-42213)
  • One or two of the following IRDye secondary antibodies
DescriptionLI-COR Part Number
IRDye 800CW Goat anti-Mouse IgG1 Specific926-32350
IRDye 800CW Goat anti-Mouse IgG2a Specific926-32351
IRDye 800CW Goat anti-Mouse IgG2b Specific926-32352
IRDye 680LT Goat anti-Mouse IgG1 Specific926-68050
IRDye 680LT Goat anti-Mouse IgG2a Specific926-68051
IRDye 680LT Goat anti-Mouse IgG2b Specific 926-68052
III. Western Blot Detection
IRDye Subclass Specific antibodies are easily incorporated into the detection step of any Western blot protocol. The sample protocol provided in 'STEPS', optimized for LI-COR reagents, is recommended. After protein transfer to the membrane is complete, perform the 'STEPS' of this protocol for one- or two-color detection.
IV. Two-Color Western Blot Considerations
Two different antigens can be detected simultaneously on the same blot using IRDye Subclass Specific OR IRDye whole IgG antibodies that are visualized in different fluorescence channels (700 and 800 nm). Two-color detection requires careful selection of primary and secondary antibodies. The following guidelines will help with the design of two-color experiments:
  • If the two primary antibodies are monoclonals (mouse) and are IgG1, IgG2a or IgG2b, IRDye Subclass Specific secondary antibodies must be used. The same subclasses cannot be combined in a two-color Western blot (for example, two IgG1 primary antibodies).
  • If the two primary antibodies are derived from different host species (for example, primary antibodies from mouse and chicken), IRDye whole IgG secondary antibodies derived from the same host and labeled with different IRDye fluorophores must be used (for example, IRDye 800CW Donkey anti-mouse and IRDye 680LT Donkey anti-chicken).
  • Before combining primary antibodies in a two-color experiment, always perform preliminary blots with each primary antibody alone to determine the expected banding pattern and possible non-specific background bands.
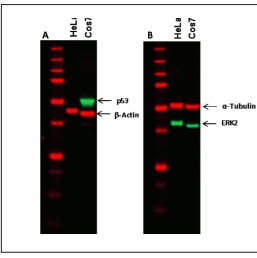
Figures II (A-C) and III (A-C) demonstrate two-color Western blot detection using (A) IRDye Subclass Specific antibodies and (B) IRDye whole IgG antibodies, respectively. IRDye Subclass Specific secondary antibodies should NOT be used in combination with IRDye whole anti-mouse IgG secondary antibodies for two-color detection. IRDye whole anti-mouse IgG secondary antibodies and IRDye Subclass Specific secondary antibodies both recognize the gamma chain of the primary antibody, causing detection in both channels (C). IRDye Subclass Specific antibodies can be used in combination with IRDye whole goat anti-rabbit secondary antibodies.


Two-color Western blot detection can be achieved by multiplexing LI-COR® mouse primary antibodies and IRDye Subclass Specific antibodies. Figure IV demonstrates two-color detection utilizing the LI-COR mouse primaries and IRDye Subclass Specific secondaries.


Materials
MATERIALS
Reagent Beta-Actin Mouse mAb IgG2bLI-CORCatalog #926-42212
ReagentAlpha-Tubulin Mouse mAb IgG1LI-CORCatalog #926-42213
ReagentIRDye 800CW Secondary AntibodiesLI-CORCatalog # 926-32350 926-32351 926-32352
ReagentIRDye 680LT Secondary AntibodiesLI-CORCatalog #926-68050 926-68051 926-68052
Troubleshooting
Safety warnings
See SDS (Safety Data Sheets) for warnings and hazards.
Wet the membrane in PBS for several minutes.
Note
If using a PVDF membrane that has been allowed to dry, pre-wet briefly in 100% methanol and rinse with ultrapure water before incubating in PBS.
Block the membrane in Odyssey Blocking Buffer for 1 hour. Be sure to use sufficient blocking buffer to cover the membrane (a minimum of 0.4 mL/cm2 is suggested).
Duration01:00:00
Dilute primary antibody in Odyssey Blocking Buffer. Optimum dilution depends on the antibody and should be determined empirically. A suggested starting range can usually be found in the product information from the vendor. To lower background, add Tween® 20 to the diluted antibody at a final concentration of 0.1 – 0.2% prior to incubation.
Note
Note: If performing two-color detection, dilute primary antibodies together in the same buffer.
Incubate blot in primary antibody solution for a minimum of 60 minutes at room temperature, with gentle shaking. 
Duration01:00:00 minimum incubation at room temp
Note
Optimum incubation times vary for different primary antibodies. Use enough antibody solution to completely cover the membrane.
Wash membrane 4 times for 5 minutes each at room temperature in PBS + 0.1% Tween® 20 with gentle shaking, using a generous amount of buffer.(1/4)
Duration00:05:00
Wash membrane for 5 minutes each at room temperature in PBS + 0.1% Tween® 20 with gentle shaking, using a generous amount of buffer.(2/4)
Duration00:05:00
Wash membrane for 5 minutes each at room temperature in PBS + 0.1% Tween® 20 with gentle shaking, using a generous amount of buffer.(3/4)
Duration00:05:00
Wash membrane for 5 minutes each at room temperature in PBS + 0.1% Tween® 20 with gentle shaking, using a generous amount of buffer.(4/4)
Duration00:05:00
  • Dilute the IRDye Subclass Specific antibody in Odyssey® Blocking Buffer.
  • Avoid prolonged exposure of the antibody vial to light.
  • Recommended dilution can be found in the pack insert for the IRDye conjugate.
  • Add the same amount of Tween 20 to the diluted secondary antibody as was added to the primary antibody.
Note
Note: If performing two-color detection, dilute secondary antibodies simultaneously in the same buffer. Adding SDS to the diluted secondary antibody at a final concentration of 0.01% - 0.02% will substantially reduce membrane background when using PVDF membrane.
  • Incubate blot in secondary antibody solution for 30-60 minutes at room temperature with gentle shaking.
  • Protect from light during incubation.
Duration01:00:00
Wash membrane 4 times for 5 minutes each at room temperature in PBS + 0.1% Tween 20, with gentle shaking. Protect from light.(1/4)
Duration00:05:00
Wash membrane for 5 minutes each at room temperature in PBS + 0.1% Tween 20, with gentle shaking. Protect from light.(2/4)
Duration00:05:00
Wash membrane for 5 minutes each at room temperature in PBS + 0.1% Tween 20, with gentle shaking. Protect from light.(3/4)
Duration00:05:00
Wash membrane for 5 minutes each at room temperature in PBS + 0.1% Tween 20, with gentle shaking. Protect from light.(4/4)
Duration00:05:00
Rinse membrane with PBS (no detergent) to remove residual Tween 20. The membrane is now ready to image.